Full Text (PDF)
Case Report

Laparoscopic Repair of Large Recurrent Bochdalek Hernia: Case Report with Review of Literature

Ravi Balar, Abhijit S. Joshi

Author Information

Licence:

Attribution-Non-commercial 4.0 International (CC BY-NC 4.0)

This license enables reusers to distribute, remix, adapt, and build upon the material in any medium or format for noncommercial purposes only, and only so long as attribution is given to the creator.


New Indian Journal of Surgery 16(4):p 177-184, oct.Dec 2025. | DOI: 10.21088/nijs.0976.4747.16425.7

How Cite This Article:

Balar R, Joshi AS. Laparoscopic repair of large recurrent Bochdalek hernia: Case report with review of literature. New Indian J Surg. 2025;16(4):177–184.

Timeline

Received : July 17, 2025         Accepted : September 27, 2025          Published : December 30, 2025

Abstract

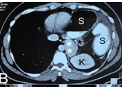
Congenital diaphragmatic hernia (CDH) is a birth defect involving improper formation of the diaphragm, leading to the protrusion of abdominal organs into the chest cavity. The CDH is classified depending on the location of the defect as postero-lateral, central and anterior. Depending on the side, it is classified as right, left and bilateral. A majority of CDH defects are postero-lateral defects and are commonly referred to as Bochdalek hernias (BH). Herein, the authors present the case of a 29 years old male patient diagnosed with a large left recurrent Bochdalek hernia. He was operated for it in another hospital by another surgeon 5 months back. That previous surgical intervention was initially planned via laparoscopy. But, intraoperatively, it had to be converted to open surgery due to technical difficulty. Post the first surgery, after about 1.5 months, he started developing pain in the back of his left chest. However, due to financial constraints, he did not seek any consultation with anyone at that time. The authors successfully performed a laparoscopic repair of this difficult condition. The rationale for reporting this case is to underscore the relative ease of a laparoscopic over open surgical intervention, on the ‘roof’ of the abdomen and also the lower chest. Also, it hopes to highlight that laparoscopic repair of BH is feasible even in challenging, difficult and recurrent scenarios, in an advanced setup backed up by the requisite surgical expertise.


References

  • 1.   Chandrasekharan PK, Rawat M, Madappa R, Rothstein DH, Lakshminrusimha S. Congenital diaphragmatic hernia: A review. Matern Health Neonatol Perinatol. 2017;3:6.
  • 2.   Balzano RF, Fascia G, Sciacqua A, Guglielmi G. Incidental finding of Bochdalek hernia in an adult: A case report. Acta Biomed. 2023;94(5):e2023246.
  • 3.   Lochman P, Hůlek M, Dušek T. Asymptomatic Bochdalek hernia in an adult: A case report. Cureus. 2024;16(5):e59635.
  • 4.   Akita M, Yamasaki N, Miyake T, et al. Bochdalek hernia in an adult: Two case reports and a review of perioperative cardiopulmonary complications. Surg Case Rep. 2020;6:72.
  • 5.   Das SS, AbdelAziz Z, Krishnan S, Alkhatib FH. Strangulated Bochdalek hernia in adults: Timely recognition and surgical intervention can prevent a lethal outcome. Cureus. 2023;15(11):e49420.
  • 6.   Rehman A, Maliyakkal AM, Naushad VA, Allam H, Suliman AM. A lady with severe abdominal pain following a Zumba dance session: A rare presentation of Bochdalek hernia. Cureus. 2018;10(4):e2427.
  • 7.   Frey S, Chazal M, Sejor E, Baque P, Mouroux J. A variety of clinical presentations and long-term evolution of Bochdalek hernias: Case reports. Front Surg. 2023;10:1150241.
  • 8.   Sutedja B, Muliani Y. Laparoscopic repair of a Bochdalek hernia in an adult woman. Asian J Endosc Surg. 2015;8(3):354–356.
  • 9.   Mohamed M, Al-Hillan A, Shah J, Zurkovsky E, Asif A, Hossain M. Symptomatic congenital Morgagni hernia presenting as chest pain: A case report. J Med Case Rep. 2020;14:13.
  • 10.   Machado NO. Laparoscopic repair of Bochdalek diaphragmatic hernia in adults. N Am J Med Sci. 2016;8(2):65–74.
  • 11.   Nistri C, Marinelli L, Di Giacomo A, Bonariol L, Massani M. Robotic repair of a giant Larrey-type congenital left-sided diaphragmatic hernia in a young woman: A case report and literature review. Int J Surg Case Rep. 2022;98:107507.
  • 12.   Harting MT, Jancelewicz T. Surgical management of congenital diaphragmatic hernia. Clin Perinatol. 2022;49(4):893–906.
  • 13.   Macchini F, Raffaeli G, Amodeo I, Ichino M, Encinas JL, Martinez L, et al. Recurrence of congenital diaphragmatic hernia: Risk factors, management, and future perspectives. Front Pediatr. 2022;10:823180.
  • 14.   Bruns NE, Glenn IC, McNinch NL, Arps K, Ponsky TA, Schlager A. Approach to recurrent congenital diaphragmatic hernia: Results of an international survey. J Laparoendosc Adv Surg Tech A. 2016;26:925–929.
  • 15.   Yao Z, Huang A, Wan L, Hu S, Nie J, Jiang K. Surgical treatment of adult right-sided giant Bochdalek hernia. J Surg Case Rep. 2025;2025(4):rjaf027.
  • 16.   Huang YJ, Fang YL. Robot-assisted congenital diaphragmatic hernia repair in adults: A case series. Medicine (Baltimore). 2024;103(43):e39918.
  • 17.   Starr TJT, Nicholson AG, Starr MJH, Traxler JA, Chu PY. Rare right-sided posterolateral diaphragmatic hernia in an adult presenting as an incarcerated large bowel obstruction: A case report. HCA Healthc J Med. 2024;5(4):483–488.
  • 18.   Farwati R, Ghedda SA, Aboudan R, Ataya J, Abdulhakim H. Bochdalek hernia in adults: A unique case with gastric volvulus and intrathoracic kidney. Int J Surg Case Rep. 2024;121:110006.
  • 19.   Mikami S, Kimura S, Tsukamoto Y, Hiwatari M, Hisatsune Y, Fukuoka A, et al. Combined laparoscopic and thoracoscopic repair of adult right-sided Bochdalek hernia with massive liver prolapse: A case report. World J Clin Cases. 2024;12(14):2420–2425.
  • 20.   Hu S, Yang X, Wu Y. Displacement of abdominal organs into the thoracic cavity: A rare case of adult Bochdalek hernia. Cureus. 2024;16(3):e56950.
  • 21.   Das SS, AbdelAziz Z, Krishnan S, Alkhatib FH. Strangulated Bochdalek hernia in adults: Timely recognition and surgical intervention can prevent a lethal outcome. Cureus. 2023;15(11):e49420.
  • 22.   Chae AY, Park SY, Bae JH, Jeong SY, Kim JS, Lee JS, et al. Maternal strangulated diaphragmatic hernia with gangrene of the entire stomach during pregnancy: A case report and review of recent literature. Int J Womens Health. 2023;15:1757–1769.
  • 23.   Azhar A, Karim ZRA, Aripin YM, Abid Amir M. A rare presentation of gastric volvulus in an adult Bochdalek hernia: A case report. J Surg Case Rep. 2023;2023(9):rjad540.
  • 24.   Eldaabossi S, Al-Ghoneimy Y, Abish YG, Farouk A, Kanany H, Taha A, et al. Late presentation of a congenital problem: Complicated left-sided Bochdalek hernia in an adult. • Bochdalek hernia in an adult: A case report. Respir Med Case Rep. 2023;45:101903.

Data Sharing Statement

There are no additional data available. All raw data and code are available upon request.

Funding

This research received no funding.

Author Contributions

Whether all authors contributed significantly to the work and approve its publication.

Ethics Declaration

This article does not involve any human or animal subjects, and therefore does not require ethics approval.

Acknowledgements

We would like to express our gratitude to the patients, their families, and all those who have contributed to this study.

Conflicts of Interest

The authors report no conflicts of interest in this work.


About this article


Cite this article

Balar R, Joshi AS. Laparoscopic repair of large recurrent Bochdalek hernia: Case report with review of literature. New Indian J Surg. 2025;16(4):177–184.


Licence:

Attribution-Non-commercial 4.0 International (CC BY-NC 4.0)

This license enables reusers to distribute, remix, adapt, and build upon the material in any medium or format for noncommercial purposes only, and only so long as attribution is given to the creator.


Received Accepted Published
July 17, 2025 September 27, 2025 December 30, 2025

DOI: 10.21088/nijs.0976.4747.16425.7

Keywords

CongenitalDiaphragmaticHerniaLaparoscopicOpen repairPostero-lateral

Article Level Metrics

Last Updated

Saturday 07 February 2026, 05:34:38 (IST)


347

Accesses

14
74
00

Citations


NA
NA
NA

Download citation


Article Keywords


Keyword Highlighting

Highlight selected keywords in the article text.


Timeline


Received July 17, 2025
Accepted September 27, 2025
Published December 30, 2025

licence


Attribution-Non-commercial 4.0 International (CC BY-NC 4.0)

This license enables reusers to distribute, remix, adapt, and build upon the material in any medium or format for noncommercial purposes only, and only so long as attribution is given to the creator.


Access this article



Share