Full Text (PDF)
Case Report

Abnormal Origin of the Right Coronary Artery: A Case Report with Literature Review

Dhanesh Kumar Sharma , Dhanesh Kumar Sharma1 , Meryl Rachel John2 , Nikita Chaudhary

Author Information

Licence:




Indian Journal of Anatomy 8(2):p 123-127, July-September 2019. | DOI: http://dx.doi.org/10.21088/ija.2320.0022.8219.8

How Cite This Article:

 

Dhanesh Kumar Sharma, Meryl Rachel John, Nikita Chaudhary. Abnormal Origin of the Right Coronary Artery: A Case Report
with Literature Review. Indian J Anat. 2019;8(2):123-126.
 


Timeline

Received : N/A         Accepted : N/A          Published : N/A

Abstract

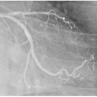
 Anomalous origin of right coronary artery is a rare congenital anomaly that was 1st described in 1948 by White and Edwards. It is well established that an anomalous origin of right coronary artery may be asymptomatic but it can lead to angina pectoris, myocardial infarction and sudden death, even in the absence of atherosclerosis. So, although many of these anomalies are clinically insignificant but some are associated with serious morbidity. Incidence of coronary anomalies in patients undergoing coronary angiography varies from 0.64% to 1.3%. We described the case of corresponding author, who had history of breathlessness off and on in the early morning in lying down posture relieved on seating posture; and once a moderate pain along the medial aspect of his right arm and then the evaluation revealed an anomalous right coronary artery arising at a higher level. We discussed the clinical importance of this anomaly and reviewed the literature concerning current views and therapy. Conceptual and therapeutic debates remain. Aim of present study is to reappraise the concept of anomalous origin of coronary artery and to discuss the potential hazards and treatment rationale of this anomaly on the basis of literature review. A comprehensive literature review was made.

 


References

No records found.


About this article


Cite this article

 

Dhanesh Kumar Sharma, Meryl Rachel John, Nikita Chaudhary. Abnormal Origin of the Right Coronary Artery: A Case Report
with Literature Review. Indian J Anat. 2019;8(2):123-126.
 


Licence:




Received Accepted Published
N/A N/A N/A

DOI: http://dx.doi.org/10.21088/ija.2320.0022.8219.8

Keywords

Coronary Arteries; Anomalies; Angiography Catheterization; Morbidity.

Article Level Metrics

Last Updated

Saturday 28 February 2026, 17:56:27 (IST)


956

Accesses

0
138
00

Citations


NA
NA
NA

Download citation


Article Keywords


Keyword Highlighting

Highlight selected keywords in the article text.


Timeline


Received N/A
Accepted N/A
Published N/A

licence



Access this article



Share