Binoy Kumar Behera Second Year Resident, Department of General Surgery, Pandit Deendayal Upadhyay Medical College & Hospital, Rajkot 360001, Gujarat, India
Muruganandam G.M. Department of General Surgery, Pandit Deendayal Upadhyay Medical College & Hospital, Rajkot 360001, Gujarat, India
J.G. Bhatt Department of General Surgery, Pandit Deendayal Upadhyay Medical College & Hospital, Rajkot 360001, Gujarat, India
J.G. Vagadia Department of General Surgery, Pandit Deendayal Upadhyay Medical College & Hospital, Rajkot 360001, Gujarat, India
Address for correspondence: Binoy Kumar Behera, Second Year Resident, Department of General Surgery, Pandit Deendayal Upadhyay Medical College & Hospital, Rajkot 360001, Gujarat, India E-mail: binay1996kumar@gmail.com
This license enables reusers to distribute, remix, adapt, and build upon the material in any medium or format for noncommercial purposes only, and only so long as attribution is given to the creator
Received : May 13, 2023
Accepted : June 30, 2023
Published : September 25, 2023
Abstract
Hydatid disease is a cyclo zoonotic parasitic infection caused by Echinococcus granulosus. This disease is commonly found in the liver and lungs but no organ of the body is immune. When found at unusual sites in the body they show atypical presentations and pose a diagnostic challenge. In such conditions, a high index of suspicion, radiological investigations as well as histopathological examination are necessary in establishing the diagnosis. We present a review of the occurrence of hydatid disease at common as well as unusual sites and our experience with clinical presentation and management of hydatid disease.
References
1. Wani RA, Wani I, Malik AA, Parray FQ, Wani AA, Dar AM. Hydatid disease at unusual sites. International Journal of Case Reports and Images 2012;3(6):1–6.
2. Kullolli GK, Vaidya MK, Patil R. Unusual Presentations of Hydatid Cyst - A Case Study. Int J Sci Stud 2017;5(1):218-222.
3. Zaidi, S.H. Some rare presentations of hydatid cysts: two case reports. Cases Journal 2, 62 (2009). https://doi.org/10.1186/1757-1626-2-62
4. Khanna AK, Prasanna GV, Khanna R, Khanna A. Unusual sites of hydatid cysts in India. Trop Doct 2005 Oct;35(4):233–5
5. Ozmen MM, Moran M, Karakahya M, Coskun F. Recurrent acute pancreatitis due to a hydatid cyst of the pancreatic head: a case report and review of the literature. JOP J Pancreas (Online) 2005;6:354–8
6. Tika Ram Bhandari, Sudha Shahi, “Simultaneous Hydatid Cyst of the Liver and Left Iliac Fossa: An Unusual Case Report”, Case Reports in Surgery, vol. 2019, Article ID 9101425, 4 pages, 2019. https://doi.org/10.1155/2019/9101425
7. M. C. Sa oleas, E. P. Misiakos, M. Kouvaraki, M. K. Stamatakos, C. P. Manti, and E. S. Felekouras, “Hydatid disease of Case Reports in Surgery 3 the liver: a continuing surgical problem,“ Archives of surgery, vol. 141, no. 11, pp. 1101–1108, 2006.
Data Sharing Statement
There are no additional data available.
Funding
This research received no funding.
Author Contributions
All authors contributed significantly to the work and approve its publication.
Ethics Declaration
This article does not involve any human or animal subjects, and therefore does not require ethics approval
This license enables reusers to distribute, remix, adapt, and build upon the material in any medium or format for noncommercial purposes only, and only so long as attribution is given to the creator
This license enables reusers to distribute, remix, adapt, and build upon the material in any medium or format for noncommercial purposes only, and only so long as attribution is given to the creator
: The abdominal cyst adhered to the fibers of the uterus and urinary bladder
Description: No description available.
Chest X-ray showing lung hydatid cyst
Description: No description available.
Well-defined exophytic mass found protruding from the left lobe of the liver.
Description: No description available.
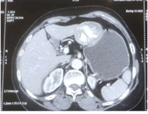
: CECT:A well-defined exophytic non-enhancing lesion of size 57x50x49 mm is noted in the left lobe of the liver with Irregular calcified membranes noted within the lesion
Description: No description available.
Calcified hydatid cyst en-mass after Pericystectomy
Description: No description available.
Intra-operative finding of cyst wall adherent to the pancreas and splenic hilum
Description: No description available.
Port site hydatid cyst (Red arrow), liver hydatid cyst (blue arrow).
Description: No description available.
Intra-operative port site hydatid cyst.
Description: No description available.
Different management approaches for different site of hydatid disease.