Full Text (PDF)
Editorial

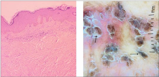
Annular Keloid Mimicking Granuloma Annulare: A Diagnostic Challenge

Pragya A. Nair, Shree Dhanani, Priya Ghoghara

Author Information

Licence:

Attribution-Non-commercial 4.0 International (CC BY-NC 4.0)

This license enables reusers to distribute, remix, adapt, and build upon the material in any medium or format for noncommercial purposes only, and only so long as attribution is given to the creator. 


RFP Journal of Dermatology 10(2):p 47-49, July-December 2025. | DOI: 10.21088/jd.2582.3582 10225.1

How Cite This Article:

Ghoghara P, Dhanani S, Nair PA. Annular keloid mimicking granuloma annulare: a diagnostic challenge. RFP J Dermatol. 2025;10(2):47-9.

Timeline

Received : September 16, 2025         Accepted : November 18, 2025          Published : December 24, 2025

Abstract

NA


References

  • 1.   Hunasgi S, Koneru A, Vanishree M, Shamala R. Keloid: A case report and review of pathophysiology and differences between keloid and hypertrophic scars. Journal of Oral and Maxillofacial Pathology: JOMFP. 2013 ;17(1):116.
  • 2.   Nangole FW, Agak GW. Keloid pathophysiology: fibroblast or inflammatory disorders?. JPRAS open. 2019;22:44-54.
  • 3.   Schmieder SJ, Harper CD, Schmieder GJ. Granuloma Annulare. [Updated 2023 Jun 21]. In: StatPearls [Internet].
  • 4.   Yoo MG, Kim IH. Keloids and hypertrophic scars: characteristic vascular structures visualized by using dermoscopy. Annals of dermatology. 2014 ;26(5):603-9.
  • 5.   Angit C, Clayton TH. Lightning-strike granuloma. Clin Exp Dermatol. 2009;34(7):e485-6.

Data Sharing Statement

There are no additional data available

Funding

This research received no funding.

Author Contributions

All authors contributed significantly to the work and approve its publication.

Ethics Declaration

This article does not involve any human or animal subjects, and therefore does not require ethics approval.

Acknowledgements

NIL


About this article


Cite this article

Ghoghara P, Dhanani S, Nair PA. Annular keloid mimicking granuloma annulare: a diagnostic challenge. RFP J Dermatol. 2025;10(2):47-9.


Licence:

Attribution-Non-commercial 4.0 International (CC BY-NC 4.0)

This license enables reusers to distribute, remix, adapt, and build upon the material in any medium or format for noncommercial purposes only, and only so long as attribution is given to the creator. 


Received Accepted Published
September 16, 2025 November 18, 2025 December 24, 2025

DOI: 10.21088/jd.2582.3582 10225.1

Keywords


Article Level Metrics

Last Updated

Monday 26 January 2026, 17:33:44 (IST)


35

Accesses

0
4
00

Citations


NA
NA
NA

Download citation


Article Keywords


Keyword Highlighting

Highlight selected keywords in the article text.


Timeline


Received September 16, 2025
Accepted November 18, 2025
Published December 24, 2025

licence


Attribution-Non-commercial 4.0 International (CC BY-NC 4.0)

This license enables reusers to distribute, remix, adapt, and build upon the material in any medium or format for noncommercial purposes only, and only so long as attribution is given to the creator. 


Access this article



Share