Full Text (PDF)
Case Report

Pseudomonas Aeruginosa in an Immunocompetent Individual with Acute Tonsillitis; An Uncommon Finding: A Case Report

Sukhdeep Kaur Basur, Snigdha Goyal, Abha Singla, Abhinav Garg

Author Information

Licence:

Attribution-Non-commercial 4.0 International (CC BY-NC 4.0)

This license enables reusers to distribute, remix, adapt, and build upon the material in any medium or format for noncommercial purposes only, and only so long as attribution is given to the creator.


RFP Journal of ENT and Allied Sciences 10(2):p 55-59, July - Dec. 2025. | DOI: 10.21088/rjeas.2456.5024.10225.3

How Cite This Article:

Basur SK, Goyal S, Singla A, et al. Pseudomonas aeruginosa in an immunocompetent individual with Acute Tonsillitis; An uncommon finding: A Case Report. RFP J ENT Allied Sci 2025;10(2):55–9.

Timeline

Received : August 18, 2025         Accepted : September 27, 2025          Published : December 30, 2025

Abstract

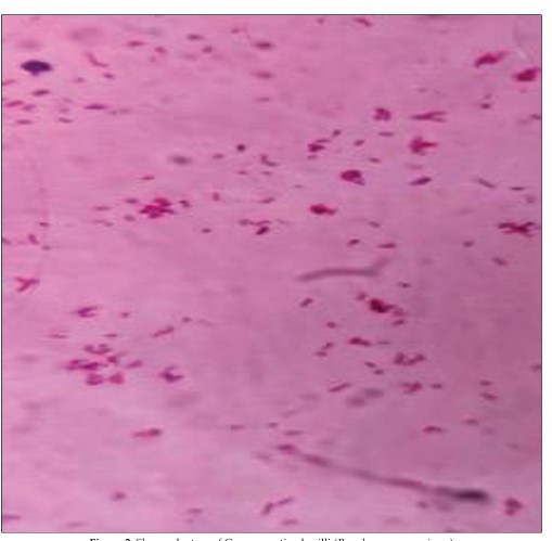
The tonsils, lymphoid tissue located in the throat, serve as the first line of immunedefense against pathogens entering the oral cavity. Tonsillitis is a common presentation in ENT clinics, affecting both children and adults. Staphylococcus aureus and Streptococcus are the most frequently isolated bacteria from throat swab cultures in these cases. While Pseudomonas aeruginosa is not a rare pathogen in acute or chronic tonsillitis, its isolation from an immunocompetent individual with this condition is uncommon. This case report presents an unusual instance of Pseudomonas bacteremia in a 20-year-old healthy male with acute tonsillitis.


References

No records found.


Data Sharing Statement

There are no additional data available. All raw data and code are available upon request.

Funding

This research received no funding.

Author Contributions

All authors contributed significantly to the work and approve its publication.

Ethics Declaration

This article does not involve any human or animal subjects, and therefore does not require ethics approval.

Acknowledgements

We would like to express our gratitude to the patients, their families, and all those who have contributed to this study.

Conflicts of Interest

No conflicts of interest in this work.


About this article


Cite this article

Basur SK, Goyal S, Singla A, et al. Pseudomonas aeruginosa in an immunocompetent individual with Acute Tonsillitis; An uncommon finding: A Case Report. RFP J ENT Allied Sci 2025;10(2):55–9.


Licence:

Attribution-Non-commercial 4.0 International (CC BY-NC 4.0)

This license enables reusers to distribute, remix, adapt, and build upon the material in any medium or format for noncommercial purposes only, and only so long as attribution is given to the creator.


Received Accepted Published
August 18, 2025 September 27, 2025 December 30, 2025

DOI: 10.21088/rjeas.2456.5024.10225.3

Keywords

Acute TonsillitisPseudomonas AeruginosaPathogenic Bacteria

Article Level Metrics

Last Updated

Monday 26 January 2026, 20:22:42 (IST)


149

Accesses

15
30
00

Citations


NA
NA
NA

Download citation


Article Keywords


Keyword Highlighting

Highlight selected keywords in the article text.


Timeline


Received August 18, 2025
Accepted September 27, 2025
Published December 30, 2025

licence


Attribution-Non-commercial 4.0 International (CC BY-NC 4.0)

This license enables reusers to distribute, remix, adapt, and build upon the material in any medium or format for noncommercial purposes only, and only so long as attribution is given to the creator.


Access this article



Share