Full Text (PDF)
Case Report

Delving into Wolf’s Isotopic Phenomenon: Tale of Two Cases of Psoriasis Localized to the site of Scars

Ujjwal Sanjay kumar Rathi, Vidya Kharkar, Vijay Deepak Joshi, Ketki Bhoite

Author Information

Licence:

Attribution-Non-commercial 4.0 International (CC BY-NC 4.0)

This license enables reusers to distribute, remix, adapt, and build upon the material in any medium or format for noncommercial purposes only, and only so long as attribution is given to the creator. 



Journal of Dermatology 10(2):p 65-70, July-December 2025. | DOI: 10.21088/jd.2582.3582 10225.4

How Cite This Article:

Rathi US, Kharkar V, Joshi V, et al. Delving into Wolf’s isotopic phenomenon: tale of two cases of psoriasis localized to the site of scars. RFP Jr of Drea. 2025;10(2):65-70.

Timeline

Received : May 21, 2025         Accepted : July 21, 2025          Published : December 24, 2025

Abstract

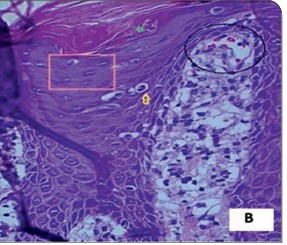
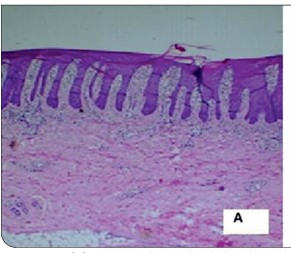
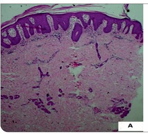
Wolf’s isotopic response refers to the occurrence of a new dermatosis at the site of a previously healed and unrelated skin condition. While commonly associated with viral triggers such as herpes simplex or zoster, non-viral initiators are rarely reported. We present two unique cases of psoriasis developing exclusively at sites of old scars from non-viral causes. The first case involved a 33-year-old male who developed a psoriatic plaque over a thermal burn scar on the dorsum of the hand. The second case featured a 28-year-old male with psoriatic lesions localized to an atrophic scar following a traumatic injury to the shin. Both cases lacked involvement of other body areas. Diagnosis was confirmed by clinical features, dermoscopy, and histopathology. These cases highlight an atypical presentation of Wolf’s isotopic phenomenon and underscore the potential role of localized immune dysregulation and scar-mediated vulnerability in the development of secondary dermatoses.


References

  • 1.   Mahajan R, De D, Saikia UN. Wolf’s Isotopic Response: Report of a Case and Review of Literature. Indian J Dermatol. 2014 May;59(3):275-82. doi: 10.4103/0019 5154.131401. PMID: 24891660; PMCID: PMC4037950.
  • 2.   Ruocco V, Ruocco E, Ghersetich I, Bianchi B, Lotti T. Isotopic response after herpesvirus infection: an update. J Am Acad Dermatol 2002; 46: 90–94.
  • 3.   Wyburn-Mason R. Malignant change arising in tissues affected by herpes. BMJ. 1955;2:1106–9. doi: 10.1136/bmj.2.4948.1106.
  • 4.   Wolf R, Wolf D. Tinea in a site of healed herpes zoster (isoloci Response) Int J Dermatol. 1985;24:539. doi: 10.1111/j.1365-4362.1985. tb05844.x. 5. Wolf R, Brenner S, Ruocco V, Filioli FG. Isotopic response. Int J Dermatol. 1995;34:341–8. doi: 10.1111/j.1365-4362.1995.tb03616.x.
  • 6.   Fröhlich S, Geidel C, Lauener R, Ring J, Möhrenschlager M. Chronic relapsing urticaria confined to injection sites of upper arms. Pediatr Dermatol. 2012;29:663–5. doi: 10.1111/j.1525-1470.2011.01511.x.
  • 7.   Bardazzi F, Giacomini F, Savoia F, Misciali C, Patrizi A. Discoid chronic lupus erythematosus at the site of a previously healed cutaneous leishmaniasis: An example of isotopic response. Dermatol Ther. 2010;23:S44–6. doi: 10.1111/j.1529-8019.2010.01300.x.
  • 8.   Liu CI, Hsu CH. Leukaemia cutis at the site of striae distensae: An isotopic response? Acta Derm Venereol. 2010;90:422–3. doi: 10.2340/00015555-0858.
  • 9.   Sardana K, Relhan V, Sehgal VN, Garg VK, Kochhar AM. Occurrence of acne comedones over healed linear scar of herpes zoster: A neurogenic perception. J Eur Acad Dermatol Venereol. 2007;21:431–2. doi: 10.1111/j.1468 3083.2006.01932.x.
  • 10.   Karakass M, Durdu M, Ozbilen A. Molluscum contagiosum on region of burned skin: Wolf’s isotopic response. J Eur Acad Dermatol Venereol. 2006;20:1014–6. doi: 10.1111/j.1468 3083.2006.01608.x.
  • 11.   Sharma RC, Sharma NL, Mahajan V, sharma AK. Wolf’s isotopic response: Herpes simplex appearing on scrofuloderma scar. Int J Dermatol. 2003;42:664–6. doi: 10.1046/j.1365 4362.2003.01570.x.
  • 12.   Bell HK, King CM. An isotopic response to patch testing. Contact Dermatitis. 2003;49:171 2. doi: 10.1111/j.0105-1873.2003.0185o.x.
  • 13.   Sanli H, Anadolu R, Arat M, Ekmekci P, Birol A, Erdem C, et al. Dermatomal lichenoid graft-versus-host disease within herpes zoster scars. Int J Dermatol. 2003;42:562–4. doi: 10.1046/j.1365-4362.2003.01723_2.x.
  • 14.   Rode H. Burn injuries in pediatric patients. J Healthcare Professionals 2001; 43: 6-14.
  • 15.   Thappa D. Isotopic response versus isomorphic response. Indian J Dermatol Venereol Leprol 2004;70:376

Data Sharing Statement

There are no additional data available.

Funding

This research received no funding.

Author Contributions

All authors contributed significantly to the work and approve its publication.

Ethics Declaration

This article does not involve any human or animal subjects, and therefore does not require ethics approval.

Acknowledgements

Information Not Provided


About this article


Cite this article

Rathi US, Kharkar V, Joshi V, et al. Delving into Wolf’s isotopic phenomenon: tale of two cases of psoriasis localized to the site of scars. RFP Jr of Drea. 2025;10(2):65-70.


Licence:

Attribution-Non-commercial 4.0 International (CC BY-NC 4.0)

This license enables reusers to distribute, remix, adapt, and build upon the material in any medium or format for noncommercial purposes only, and only so long as attribution is given to the creator. 



Received Accepted Published
May 21, 2025 July 21, 2025 December 24, 2025

DOI: 10.21088/jd.2582.3582 10225.4

Keywords

Wolf’s Isotopic ResponsePsoriasis • Burn ScarPost-Traumatic ScarLocus Minoris ResistentiaeNon-Viral Primary Dermatosis Isotopic PhenomenonScar-Associated Dermatosis

Article Level Metrics

Last Updated

Saturday 28 February 2026, 23:28:20 (IST)


78

Accesses

0
49
00

Citations


NA
NA
NA

Download citation


Article Keywords


Keyword Highlighting

Highlight selected keywords in the article text.


Timeline


Received May 21, 2025
Accepted July 21, 2025
Published December 24, 2025

licence


Attribution-Non-commercial 4.0 International (CC BY-NC 4.0)

This license enables reusers to distribute, remix, adapt, and build upon the material in any medium or format for noncommercial purposes only, and only so long as attribution is given to the creator. 



Access this article



Share