Full Text (PDF)
Case Report

Pachydermoperiostosis, Complete Form: A Case Report of Rare Occurrence

Siddhi Rajesh Patadia, Sunanda Arun Mahajan, Ketki Shekhar Bhoite

Author Information

Licence:

Attribution-Non-commercial 4.0 International (CC BY-NC 4.0)

This license enables reusers to distribute, remix, adapt, and build upon the material in any medium or format for noncommercial purposes only, and only so long as attribution is given to the creator. 


RFP Journal of Dermatology 10(2):p 59-63, July-December 2025. | DOI: 10.21088/jd.2582.3582 10225.3

How Cite This Article:

Bhoite KS, Patadia SR, Mahajan SA, et al. Pachydermoperiostosis, complete form: a case report of rare occurrence. RFP Jr of Drea. 2025;10(2):59-62.

Timeline

Received : May 22, 2025         Accepted : September 27, 2025          Published : December 24, 2025

Abstract

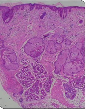
Pachydermoperiostosis is a rare genetic disorder featuring a triad of pachydermia, periostosis and digital clubbing. It is either caused by the mutations in the HPGD (AR inheritance) or SLCO2A1 gene (AD inheritance), resulting in elevated prostaglandins E2 levels. It can be classified on the basis of presence or absence of underlying cardiac, pulmonary or hepatic disease as primary or secondary. We hereby report a case of complete form of primary pachydermoperiostosis.


References

  • 1.   Sandoval AR, Flores-Robles BJ, Llanos JC, Porres S, Dardón JD, Harrison RM. Cutis verticis gyrata as a clinical manifestation of Touraine-Solente-Gole’ syndrome (pachydermoperiostosis). BMJ Case Rep. 2013, 2013. doi: 10.1136/bcr-2013-010047
  • 2.   Lee S, Park SY, Kwon HJ, Lee CH, Kim OH, Rhee Y. Identification of the mutations in the prostaglandin transporter gene SLCO2A1 and clinical characterization in korean patients with pachydermoperiostosis. J Korean Med Sci. 2016;31:735---4 doi: 10.3346/jkms.2016
  • 3.   Abdullah NRA, Jason WLC, Nasruddin AB. Pachydermoperiostosis: a rare mimicker of acromegaly. Endocrinol Diabetes Metab Case Rep. 2017:2017. DOI: 10.1530/EDM-17-0029
  • 4.   Monteiro E, Carvalho P, Silva A, Ferraro A. Frontal rhytidectomy: Anew approach to improve deep wrinkles in a case of pachydermoperiostosis. Plast Reconstr Surg 2003;112:1189-90.
  • 5.   Uppal S, Diggle CP, Carr IM, Fishwick CW, Ahmed M, Ibrahim GH, et al. Mutations in 15-hydroxyprostaglandin dehydrogenase cause primary hypertrophic osteoarthropathy. Nat Genet. 2008;40:789---93.
  • 6.   Nakazawa S, Niizeki H, Matsuda M, Nakabayashi K, Seki A, Mori T, et al. Involvement of prostaglandin E2 in the first Japanese case of pachydermoperiostosis with HPGD mutation and recalcitrant leg ulcer. J Dermatol Sci. 2015;78:153-5.

Data Sharing Statement

There are no additional data available.

Funding

This research received no funding.

Author Contributions

All authors contributed significantly to the work and approve its publication.

Ethics Declaration

This article does not involve any human or animal subjects, and therefore does not require ethics approval.

Acknowledgements

Information Not Provided


About this article


Cite this article

Bhoite KS, Patadia SR, Mahajan SA, et al. Pachydermoperiostosis, complete form: a case report of rare occurrence. RFP Jr of Drea. 2025;10(2):59-62.


Licence:

Attribution-Non-commercial 4.0 International (CC BY-NC 4.0)

This license enables reusers to distribute, remix, adapt, and build upon the material in any medium or format for noncommercial purposes only, and only so long as attribution is given to the creator. 


Received Accepted Published
May 22, 2025 September 27, 2025 December 24, 2025

DOI: 10.21088/jd.2582.3582 10225.3

Keywords

PachydermiaPeriostosisHypertrophic Osteoarthropathy

Article Level Metrics

Last Updated

Monday 26 January 2026, 17:33:43 (IST)


35

Accesses

1
4
00

Citations


NA
NA
NA

Download citation


Article Keywords


Keyword Highlighting

Highlight selected keywords in the article text.


Timeline


Received May 22, 2025
Accepted September 27, 2025
Published December 24, 2025

licence


Attribution-Non-commercial 4.0 International (CC BY-NC 4.0)

This license enables reusers to distribute, remix, adapt, and build upon the material in any medium or format for noncommercial purposes only, and only so long as attribution is given to the creator. 


Access this article



Share