Karthi Vignesh Raj K. Assistant Professor, Department of Forensic Medicine and Toxicology, All India Institute of Medical Sciences, Guwahati,, India
Nilesh Devraj Associate Professor, Department of Forensic Medicine and Toxicology, All India Institute of Medical Sciences, Guwahati,, India
Senthil Kumar R Additional Professor Department of Forensic Medicine, PGIMER, Chandigarh,, India
Sankappa Pundalikappa Sinhasan Professor, Department of Pathology and Lab Medicine, All India Institute of Medical Sciences, Guwahati,, India
Sandeep Nath Junior Resident, Department of Forensic Medicine and Toxicology, All India Institute of Medical Sciences, Guwahati,, India
Sankalp Chanda Junior Resident, Department of Forensic Medicine and Toxicology, All India Institute of Medical Sciences, Guwahati,, India
Address for correspondence: Karthi Vignesh Raj K., Assistant Professor, Department of Forensic Medicine and Toxicology, All India Institute of Medical Sciences, Guwahati,, India E-mail: karthivignesh@aiimsguwahati.ac.in
This license enables reusers to distribute, remix, adapt, and build upon the material in any medium or format for noncommercial purposes only, and only so long as attribution is given to the creator.
Red Flower's Journal of Forensic Chemistry and Toxicology
11(2):p 109-114, July-Dec 2025. | DOI: 10.21088/jfct.2454.9363.11225.4
How Cite This Article:
Devraj N, Kumar R S, Sinhasan SP, et al. A Fatal Journey of a Clot: Pulmonary Thromboembolism Case Report. J Forensic Chem Toxicol. 2025;11(2):109-14.
Timeline
Received : September 12, 2025
Accepted : November 13, 2025
Published : December 30, 2025
Abstract
Pulmonary thromboembolism (PTE) following deep vein thrombosis (DVT) is associated with high mortality, particularly in trauma patients with long bone fractures. Due to its nonspecific clinical presentation, PTE is often not suspected until autopsy, which serves as a gold standard for diagnosis in such cases. We report the case of a 42-year-old male who died from an acute PTE after sustaining multiple injuries in a road traffic accident. He presented to the emergency department unconscious, with head and leg injuries, and was intubated for a low
Glasgow Coma Scale score. Despite intensive care including resuscitation from recurrent cardiac arrests, the patient died on the fourth day of hospitalization. Autopsy revealed extensive deep vein thrombosis in the injured limb and a saddle pulmonary embolus as the cause of death. This case underscores the need for early screening and prophylaxis for PTE in patients with multiple fractures, and it highlights the value of medicolegal autopsy and histopathological examination in confirming the diagnosis and guiding future clinical practice.
References
1. Chen Z., Wang P., Zhang M., et al. Forensic Pathological Analysis of Death Due to Pulmonary Thromboembolism: A Retrospective Study Based on 145 Cases. Am J Forensic Med Pathol. 2023; 44(2): 111-115. doi: 10.1097/PAF.0000000000000811. Epub 2023 Jan 22. PMID: 36689553.
2. Di Nisio M., Van Es N., Buller H.R., et al. Deep vein thrombosis and pulmonary embolism. Lancet. 2016; 388: 3060–3073. doi: 10.1016/ S0140-6736(16)30514-1. Epub 2016 Jun 30. PMID: 27375038.
4. Lee A.D., Stephen E., Agarwal S., et al. Venous thrombo-embolism in India. Eur J Vasc Endovasc Surg. 2009; 37(4): 482-5. doi: 10.1016/j.ejvs.2008.11.031. Epub 2009 Feb 8. PMID: 19208449.
5. Murty O.P. Textbook of Forensic Histopathology. In: Murty O.P. ed. Respiratory system. New Delhi: CBS Publishers & Distributors; 2022: 161-70. ISBN.9789354660030.
6. Klok, F.A. et al. Comparison of CT assessed right ventricular size and cardiac biomarkers for predicting short-term clinical outcome in normotensive patients suspected of having acute pulmonary embolism. J Thromb Haemost. 2010; 8: 853–856. doi: 10.1111/j.1538- 7836.2010.03780.x. Epub 2010 Jan 24. PMID: 20096002.
7. Klok, F.A., Mos I.C., Huisman M.V. Brain-type natriuretic peptide levels in the prediction of adverse outcome in patients with pulmonary embolism: a systematic review and metaanalysis. Am J Respir Crit Care Med. 2008; 178(4): 425–430. doi: 10.1164/rccm.200803- 459OC. Epub 2008 Jun 12. PMID: 18556626.
8. Dickstein K., Cohen-Solal A., Filippatos G., et al. ESC guidelines for the diagnosis and treatment of acute and chronic heart failure 2008: the Task Force for the diagnosis and the European Society of Cardiology. Developed in collaboration with the Heart Failure Association of the ESC (HFA) and endorsed by the European Society of Intensive Care Medicine (ESICM). Eur J Heart Fail. 2008; 10: 933–989. doi: 10.1016/j.ejheart.2008.08.005.
9. Beasley R., Raymond N., Hill S., et al. Thrombosis: the 21st century variant of venous thromboembolism associated with immobility. Eur Respir J. 2003; 21(2): 374–6. doi: 10.1183/09031936.03.00039403. PMID: 12608454.
11. Thakkar D., Shinde V. Caught in the Clot: A Case Report of Arrested Pulmonary Embolism. Cureus. 2024; 16(5): e61213. doi: 10.7759/ cureus.61213. PMID: 38939235; PMCID: PMC11210831.
12. Rivers-Kennedy A.D., Byard R.W., Van Den Heuvel C., et al. Investigating the Source of Fatal Pulmonary Thromboembolism in a Coronial Postmortem Population. Am J Forensic Med Pathol. 2022; 43(2): 117-120. doi: 10.1097/PAF.0000000000000746. Epub 2022 Jan 28. PMID: 35102008.
13. Fineschi V., Bafunno V., Bello S., et al. Fatal pulmonary thromboembolism. A retrospective autopsy study: searching for genetic thrombophilias (Factor V Leiden (G1691A) and FII (G20210A) gene variants) and dating the thrombus. Forensic Sci Int. 2012; 214(1–3): 152–158. doi: 10.1016/j.forsciint.2011.07.046. Epub 2011 Aug 26. PMID: 21871746.
14. Fineschi V., Turillazzi E., Neri M., et al. Histological age determination of venous thrombosis: a neglected forensic task in fatal pulmonary thrombo embolism. Forensic Sci Int. 2009; 186(1–3): 22–28. doi: 10.1016/j. forsciint. 2009.01.006. Epub 2009 Feb 8. PMID: 19203853.
15. Burke M.P., Bedford P., Baber Y. Can forensic pathologists diagnose pulmonary thromboembolism on postmortem computed tomography pulmonary angiography? Am J Forensic Med Pathol. 2014; 35(2): 124-31. doi: 10.1097/PAF.0000000000000086. PMID: 24781394.
Data Sharing Statement
There are no additional data available. All raw data and code are available upon request.
Funding
This research received no funding.
Author Contributions
All authors contributed significantly to the work and approve its publication.
Ethics Declaration
This article does not involve any human or animal subjects, and therefore does not require ethics approval.
Acknowledgements
We would like to express our gratitude to the patients, their families, and all those who have contributed to this study.
Conflicts of Interest
No conflicts of interest in this work.
About this article
Cite this article
Devraj N, Kumar R S, Sinhasan SP, et al. A Fatal Journey of a Clot: Pulmonary Thromboembolism Case Report. J Forensic Chem Toxicol. 2025;11(2):109-14.
This license enables reusers to distribute, remix, adapt, and build upon the material in any medium or format for noncommercial purposes only, and only so long as attribution is given to the creator.
This license enables reusers to distribute, remix, adapt, and build upon the material in any medium or format for noncommercial purposes only, and only so long as attribution is given to the creator.
) Coiled clots filling the right ventricle and extending into the pulmonary arteries of both lungs (saddle embolus), along with clots retrieved from the inferior vena cava and common iliac vein
Description: No description available.
Dissected right femoral vein (blue arrow) with adherent clots being lifted (yellow arrow) from the vessel during autopsy.
Description: No description available.
Formalin-fixed lung specimen showing a clot within the pulmonary artery (white arrow indicates a clot extending from the right ventricle
Description: No description available.
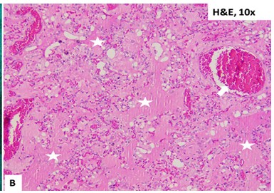
Histologic section of lung parenchyma (H&E stain) showing extensive pulmonary edema (white star) and congested blood vessels (white arrow), with areas of interstitial hemorrhage.
Description: No description available.
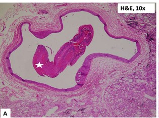
Histologic section of a hilar pulmonary vessel showing an occlusive blood clot (white star)
Description: No description available.
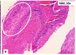
Cross section of a thrombus showing distinct dark-red layers (rich in red blood cells) and pale layers (fibrin and platelets), demonstrating the lines of Zahn indicative of an antemortem thrombus (white oval highlight)