Full Text (PDF)
Case Report

Boerhaave Syndrome Masquerading as Sudden Death: A Virtual Autopsy Perspective

Swati Tyagi, Benitto Pavithran

Author Information

Licence:

Attribution-Non-commercial 4.0 International (CC BY-NC 4.0)

This license enables reusers to distribute, remix, adapt, and build upon the material in any medium or format for noncommercial purposes only, and only so long as attribution is given to the creator.



Red Flower's Journal of Forensic Chemistry and Toxicology 11(2):p 121-125, July-Dec 2025. | DOI: 10.21088/jfct.2454.9363.11225.6

How Cite This Article:

Pavithran B, Tyagi S. A Boerhaave Syndrome Masquerading as Sudden Death: A Virtual Autopsy Perspective. J Forensic Chem Toxicol. 2025;11(2):121-5.

Timeline

Received : September 27, 2025         Accepted : November 13, 2025          Published : December 30, 2025

Abstract

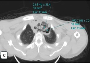
Boerhaave syndrome (BS) is a rare, life-threatening condition characterized by spontaneous esophageal rupture, commonly triggered by forceful vomiting. Due to its nonspecific presentation, BS is often misdiagnosed, leading to delayed intervention and high mortality. We report a case of BS presenting with hematemesis, respiratory distress, and collapse, emphasizing the forensic implications and the role of postmortem computed tomography (PMCT) in virtual autopsy. A 46-year-old male with a history of alcohol consumption experienced sudden-onset hematemesis and respiratory distress, followed by cardiopulmonary arrest. Despite resuscitation efforts, the patient was pronounced dead. Autopsy findings revealed a full-thickness esophageal rupture with mediastinal contamination and pleural effusions, confirming BS as the cause of death. PMCT successfully detected pneumomediastinum, free intrathoracic air, and mediastinal fluid, demonstrating its utility in forensic investigations. The case highlights key differential diagnoses of sudden death, including acute myocardial infarction, pulmonary embolism, and aortic dissection. This case aligns with existing literature where hematemesis, though less commonly reported, was a significant symptom preceding cardiovascular collapse. Delayed diagnosis of BS remains a critical factor contributing to poor outcomes and increased mortality rates. The integration of PMCT with conventional autopsy enhances the diagnostic accuracy of esophageal perforation-related deaths, particularly in forensic settings. Comparative analysis with previously reported cases underscores the need for heightened clinical suspicion and early imaging to prevent fatal outcomes. Boerhaave syndrome remains a diagnostic and therapeutic challenge, often leading to sudden and unexpected death. This case reinforces the medicolegal importance of virtual autopsy in identifying esophageal rupture, particularly in unwitnessed or unexplained deaths.


References

  • 1.   Korn O., Oñate J.C., López R. Anatomy of the Boerhaave syndrome. Surgery. 2007 Feb; 141(2): 222-8. doi: 10.1016/j.surg.2006.06.034. Epub 2006 Sep 25. PMID: 17263979
  • 2.   Vidarsdottir H., Blondal S., Alfredsson H., Geirsson A, Gudbjartsson T. Oesophageal perforations in Iceland: a whole population study on incidence, etiology and surgical outcome. Thorac Cardiovasc Surg. 2010; 58: 476–480. doi:10.1055/s-0030-1250347
  • 3.   Søreide J.A., Viste A. Esophageal perforation: diagnostic work-up and clinical decisionmaking in the first 24 hours. Scand J Trauma Resusc Emerg Med. 2011 Oct 30; 19: 66. doi:10.1186/1757-7241-19-66. PMID: 22035338; PMCID: PMC3219576
  • 4.   Tarazona MAD, Chaves CER, Mateus JFI, Comba FAR, Rosso J.D., Uribe MCA. Boerhaave syndrome: Successful conservative treatment. Case report and literature review. Int J Surg Case Rep. 2023 Jun; 107: 108289. doi: 10.1016/j.ijscr.2023.108289. Epub 2023 May 4. PMID: 37187116; PMCID: PMC10196949.
  • 5.   Spapen J., De Regt J., Nieboer K., Verfaillie G., Honoré PM, Spapen H. Boerhaave’s Syndrome: Still a Diagnostic and Therapeutic Challenge in the 21st Century. Case Rep Crit Care. 2013; 2013: 161286. doi: 10.1155/2013/161286. Epub 2013 Jun 9. PMID: 24829816; PMCID: PMC4010036.
  • 6.   Ribeiro T.A., Cordoval LTDC, Viana Neto E.M., Ribeiro M.A., Motta EGPC. Boerhaave’s syndrome: a differential diagnosis of chest and abdominal pain. Radiol Bras. 2018 Mar- Apr; 51(2): 124-125. doi: 10.1590/0100- 3984.2016.0138. PMID: 29743743; PMCID: PMC5935410.
  • 7.   Ceriz T., Diegues A., Lagarteira J., Terries Alexandre R., Carrascal A. Boerhaave’s Syndrome: A Case Report. Cureus. 2022 Apr 5; 14(4):e23836. doi: 10.7759/cureus.23836. PMID: 35530901; PMCID: PMC9072258
  • 8.   Arin Saha, Martin Jarvis, James A.C. Thorpe, David J. O’Regan, Atypical presentation of Boerhaave’s syndrome as Enterococcal bacterial pericardial effusion, Interactive CardioVascular and Thoracic Surgery, Volume 6, Issue 1, February 2007, Pages 130–132, https://doi.org/10.1510/icvts.2006.139667

Data Sharing Statement

There are no additional data available. All raw data and code are available upon request.

Funding

This research received no funding.

Author Contributions

All authors contributed significantly to the work and approve its publication.

Ethics Declaration

This article does not involve any human or animal subjects, and therefore does not require ethics approval.

Acknowledgements

We would like to express our gratitude to the patients, their families, and all those who have contributed to this study.

Conflicts of Interest

No conflicts of interest in this work.


About this article


Cite this article

Pavithran B, Tyagi S. A Boerhaave Syndrome Masquerading as Sudden Death: A Virtual Autopsy Perspective. J Forensic Chem Toxicol. 2025;11(2):121-5.


Licence:

Attribution-Non-commercial 4.0 International (CC BY-NC 4.0)

This license enables reusers to distribute, remix, adapt, and build upon the material in any medium or format for noncommercial purposes only, and only so long as attribution is given to the creator.



Received Accepted Published
September 27, 2025 November 13, 2025 December 30, 2025

DOI: 10.21088/jfct.2454.9363.11225.6

Keywords

Boerhaave’s syndromeSpontaneous esophageal ruptureSudden deathMediastinitisPostmortem computed tomography (PMCT)Hemorrhagic ShockHematemesis Introduction

Article Level Metrics

Last Updated

Monday 26 January 2026, 16:10:58 (IST)


128

Accesses

1
23
00

Citations


NA
NA
NA

Download citation


Article Keywords


Keyword Highlighting

Highlight selected keywords in the article text.


Timeline


Received September 27, 2025
Accepted November 13, 2025
Published December 30, 2025

licence


Attribution-Non-commercial 4.0 International (CC BY-NC 4.0)

This license enables reusers to distribute, remix, adapt, and build upon the material in any medium or format for noncommercial purposes only, and only so long as attribution is given to the creator.



Access this article



Share