Full Text (PDF)
Case Report

A Doughnut in the Brain

Jaislin Joseph, Varun H.S., Rajeshgopal Rao, Suhas Rao

Author Information

Licence:

Attribution-Non-commercial 4.0 International (CC BY-NC 4.0)

This license enables reusers to distribute, remix, adapt, and build upon the material in any medium or format for noncommercial purposes only, and only so long as attribution is given to the creator.


Indian Journal of Emergency Medicine 11(4):p 271-274, Oct - Dec. 2025. | DOI: 10.21088/ijem.2395.311X.11425.11

How Cite This Article:

Joseph J, Varun HS, Rao R, et al. A Doughnut in the Brain. Ind J Emerg Med. 2025;11(4):271-4.

Timeline

Received : July 15, 2025         Accepted : October 22, 2025          Published : December 30, 2025

Abstract

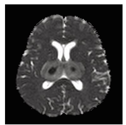
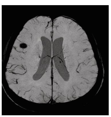
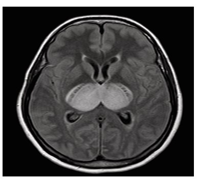
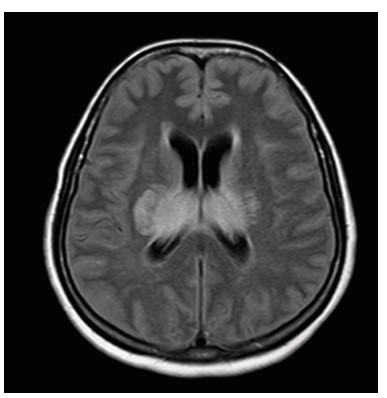
Dengue fever, a mosquito borne viral illness, is endemic in many parts of the world, particularly in tropical and subtropical regions. It is caused by four distinct serotypes (DENV 1–4) of single stranded RNA viruses from the Flaviviridae family. Although it is generally considered non-neurotropic, certain strains, especially DENV-2 and DENV-3, have been associated with neurological involvement. Neurological complications can include encephalopathy, encephalitis, meningitis, acute disseminated encephalomyelitis (ADEM), stroke, and Guillain-Barré syndrome. Dengue encephalitis, a relatively uncommon but serious manifestation, arises from direct viral invasion of neural tissue. This case report presents a patient with altered mental status and characteristic MRI findings symmetrical involvement of the thalami and cerebellum, known as the “double doughnut sign” indicative of dengue encephalitis. Cerebrospinal fluid analysis confirmed the diagnosis. Early recognition, neuroimaging, and supportive management with immunomodulation played a crucial role in the patient’s recovery. Clinicians should maintain a high index of suspicion for dengue encephalitis in endemic areas when encountering unexplained encephalopathy.


References

  • 1.   Murthy J.M. Neurological complication of dengue infection. Neurol India. 2010 Jul-Aug; 58(4): 581-4. doi: 10.4103/0028-3886.68654. PMID: 20739796.
  • 2.   Jugpal, T.S., Dixit, R., Garg, A., Gupta, S., Jain, V., Patel, R., & Agarwal, S. (2017). Spectrum of findings on magnetic resonance imaging of the brain in patients with neurological manifestations of dengue fever. Radiologia Brasileira, 50, 285-290.
  • 3.   Calderón-Peláez M.A., Velandia-Romero M.L., Bastidas-Legarda L.Y., Beltrán E.O., Camacho-Ortega S.J., Castellanos J.E. Dengue Virus Infection of Blood-Brain Barrier Cells: Consequences of Severe Disease. Front Microbiol. 2019 Jun 26; 10: 1435. doi: 10.3389/ fmicb.2019.01435. PMID: 31293558; PMCID: PMC6606788.
  • 4.   Koley T.K., Jain S., Sharma H., Kumar S., Mishra S., Gupta M.D., Goyal A.K., Gupta M.D. Dengue encephalitis. J Assoc Physicians India. 2003 Apr; 51: 422-3. PMID: 12723667.
  • 5.   Madi D., Achappa B., Ramapuram J.T., Chowta N., Laxman M., Mahalingam S. Dengue encephalitis-A rare manifestation of dengue fever. Asian Pac J Trop Biomed. 2014 May; 4(Suppl 1): S70-2. doi: 10.12980/ APJTB.4.2014C1006. PMID: 25183150; PMCID: PMC4025291.
  • 6.   Lum L.C., Lam S.K., Choy Y.S., George R., Harun F. Dengue encephalitis: a true entity? Am J Trop Med Hyg. 1996 Mar; 54(3): 2569. doi: 8600761. 10.4269/ajtmh.1996.54.256. PMID:
  • 7.   Shah N., Nair A.V., Ahamed S., Manoj K.S. Dengue doughnut: A diagnostic magnetic resonance imaging finding in dengue encephalitis. J Postgrad Med. 2018 Apr-Jun; 64(2): 127. doi: 10.4103/jpgm.JPGM_374_17. PMID: 29692403; PMCID: PMC5954811.

Data Sharing Statement

There are no additional data available. All raw data and code are available upon request.

Funding

This research received no funding.

Author Contributions

All authors contributed significantly to the work and approve its publication.

Ethics Declaration

This article does not involve any human or animal subjects, and therefore does not require ethics approval.

Acknowledgements

We would like to express our gratitude to the patients, their families, and all those who have contributed to this study.

Conflicts of Interest

No conflicts of interest in this work.


About this article


Cite this article

Joseph J, Varun HS, Rao R, et al. A Doughnut in the Brain. Ind J Emerg Med. 2025;11(4):271-4.


Licence:

Attribution-Non-commercial 4.0 International (CC BY-NC 4.0)

This license enables reusers to distribute, remix, adapt, and build upon the material in any medium or format for noncommercial purposes only, and only so long as attribution is given to the creator.


Received Accepted Published
July 15, 2025 October 22, 2025 December 30, 2025

DOI: 10.21088/ijem.2395.311X.11425.11

Keywords

Dengue feverInfectious encephalitisMRI findingsExpanded dengue syndrome & complications

Article Level Metrics

Last Updated

Saturday 07 February 2026, 10:00:59 (IST)


1189

Accesses

31
291
00

Citations


NA
NA
NA

Download citation


Article Keywords


Keyword Highlighting

Highlight selected keywords in the article text.


Timeline


Received July 15, 2025
Accepted October 22, 2025
Published December 30, 2025

licence


Attribution-Non-commercial 4.0 International (CC BY-NC 4.0)

This license enables reusers to distribute, remix, adapt, and build upon the material in any medium or format for noncommercial purposes only, and only so long as attribution is given to the creator.


Access this article



Share