Full Text (PDF)
Case Report

REPE after Spontaneous Pneumothorax Drainage

Apurva Sahay, Surjeet Acharya, Kishalay Datta

Author Information

Licence:

Attribution-Share Alike 4.0 International (CC BY-SA 4.0)

This license enables reusers to distribute, remix, adapt, and build upon the material in any medium or format for noncommercial purposes only, and only so long as attribution is given to the creator.


Indian Journal of Emergency Medicine 11(4):p 297-300, Oct - Dec. 2025. | DOI: 10.21088/ijem.2395.311X.11425.16

How Cite This Article:

Sahay A, Acharya S, Datta K. REPE after Spontaneous Pneumothorax Drainage. Ind J Emerg Med. 2025;11(4):297-300.

Timeline

Received : October 14, 2025         Accepted : November 14, 2025          Published : December 30, 2025

Abstract

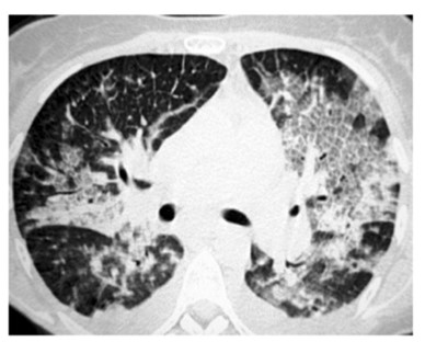
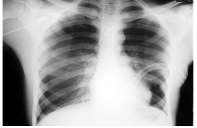
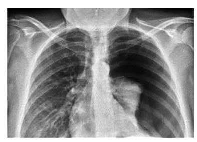
Spontaneous pneumothorax is a common clinical condition in respiratory medicine, typically managed through either conservative measures or pleural drainage. One of the recognized complications following drainage is re-expansion pulmonary edema (REPE), which is usually mild and self-limiting. However, in rare instances, REPE can manifest severely. This report describes a case of unilateral severe REPE that developed shortly after pleural drainage for a spontaneous pneumothorax, complicated by extensive pulmonary plasma leakage. The patient experienced a sudden and critical decline in both respiratory and circulatory status. Emergency management included prone and head-down positioning to optimize ventilationperfusion matching, aggressive fluid resuscitation, and initiation of mechanical ventilation. This clinical course highlights the potential for REPE to progress rapidly to life-threatening respiratory and hemodynamic failure. Clinicians should maintain a high index of suspicion for severe pulmonary re-expansion edema in patients who deteriorate shortly after seemingly successful pleural decompression. Early recognition and supportive interventions are vital for improving outcomes in such critical presentations. In this case report, we discuss such a challenging case, its management and further course we learnt to support our readers.


References

  • 1.   Cha K.C., Kim H., Ji H.J., Kwon W.C., Shin H. J., Cha Y.S., Lee K.H., Hwang S.O., Lee C.C., and Singer A.J., The frequency of reexpansion pulmonary edema after trocar and hemostat assisted thoracostomy in patients with spontaneous pneumothorax, Yonsei Medical Journal. (2013) 54, no. 1, 166–171, https:// doi.org/10.3349/ymj.2013.54.1.166, 84871348682, 23225814.
  • 2.   Haga T., Kurihara M., and Kataoka H., Risk for re-expansion pulmonary edema following spontaneous pneumothorax, Surgery Today. (2014) 44, no. 10, 1823–1827, https://doi. org/10.1007/s00595-013-0726-y, 2-s2.084920273843, 24065192.
  • 3.   Walter J.M., Matthay M.A., Gillespie C.T., and Corbridge T., Acute hypoxemic respiratory failure after large-volume thoracentesis. Mechanisms of pleural fluid formation and reexpansion pulmonary edema, Annals of the American Thoracic Society. (2016) 13, no. 3, 438–443, https://doi.org/10.1513/ AnnalsATS.201510-716CC, 2-s2.0-84989193403, 26963356.
  • 4.   Yoon J.S., Suh J.H., Choi S.Y., Kwon J.B., Lee B.Y., Lee S.H., Kim C.K., and Park C.B., Risk factors for the development of reexpansion pulmonary edema in patients with spontaneous pneumothorax, Journal of Cardiothoracic Surgery. (2013) 8, no. 1, https://doi.org/10.1186/17498090-8-164, 2-s2.0-84879474114.
  • 5.   Jørgensen A.H.R., Yao Y., Ghazanfar M. N., Ring H.C., and Thomsen S.F., Burden, predictors and temporal relationships of comorbidities in patients with hidradenitis suppurativa: a hospital-based cohort study, Journal of the European Academy of Dermatology and Venereology. (2020) 34, no. 3, 565–573, https://doi.org/10.1111/jdv.15904, 2-s2.085073781445, 31442338.
  • 6.   Sabat R., Jemec G.B.E., Matusiak Ł., Kimball A.B., Prens E., and Wolk K., Hidradenitis suppurativa, Nature Reviews. Disease Primers. (2020) 6, no. 1, https://doi.org/10.1038/ s41572-020-0149-1.
  • 7.   Beng S.T. and Mahadevan M., An uncommon life-threatening complication after chest tube drainage of pneumothorax in the ED, The American Journal of Emergency Medicine. (2004) 22, no. 7, 615–619, https://doi.org/10.1016/j. ajem.2004.09.005, 2-s2.0-12444288137, 15666274.
  • 8.   Yonis H., Bitker L., Aublanc M., Perinel Ragey S., Riad Z., Lissonde F., Louf-Durier A., Debord S., Gobert F., Tapponnier R., Guérin C., and Richard J.C., Change in cardiac output during Trendelenburg maneuver is a reliable predictor of fluid responsiveness in patients with acute respiratory distress syndrome in the prone position under protective ventilation, Critical Care. (2017) 21, no. 1, https://doi.org/10.1186/ s13054-017-1881-0, 2-s2.0-85037348703, 29208025.
  • 9.   Scholten E.L., Beitler J.R., Prisk G.K., and Malhotra A., Treatment of ARDS with prone positioning, Chest. (2017) 151, no. 1, 215–224, https://doi.org/10.1016/j.chest.2016.06.032, 2-s2.0-85009754234, 27400909.

Data Sharing Statement

There are no additional data available. All raw data and code are available upon request.

Funding

This research received no funding.

Author Contributions

All authors contributed significantly to the work and approve its publication.

Ethics Declaration

This article does not involve any human or animal subjects, and therefore does not require ethics approval.

Acknowledgements

We would like to express our gratitude to the patients, their families, and all those who have contributed to this study.

Conflicts of Interest

No conflicts of interest in this work.


About this article


Cite this article

Sahay A, Acharya S, Datta K. REPE after Spontaneous Pneumothorax Drainage. Ind J Emerg Med. 2025;11(4):297-300.


Licence:

Attribution-Share Alike 4.0 International (CC BY-SA 4.0)

This license enables reusers to distribute, remix, adapt, and build upon the material in any medium or format for noncommercial purposes only, and only so long as attribution is given to the creator.


Received Accepted Published
October 14, 2025 November 14, 2025 December 30, 2025

DOI: 10.21088/ijem.2395.311X.11425.16

Keywords

REPESpontaneous PneumothoraxRe-expansion Pulmonary Edema

Article Level Metrics

Last Updated

Saturday 28 February 2026, 04:21:11 (IST)


1304

Accesses

7
494
00

Citations


NA
NA
NA

Download citation


Article Keywords


Keyword Highlighting

Highlight selected keywords in the article text.


Timeline


Received October 14, 2025
Accepted November 14, 2025
Published December 30, 2025

licence


Attribution-Share Alike 4.0 International (CC BY-SA 4.0)

This license enables reusers to distribute, remix, adapt, and build upon the material in any medium or format for noncommercial purposes only, and only so long as attribution is given to the creator.


Access this article



Share