Full Text (PDF)
Case Report

Post Stroke Othello Syndrome: A Case Report

Hemendra Singh , Asmita Mukund Toro1 , Hemendra Singh2 , Lahari R.3

Author Information

Licence:




RFP Indian Journal of Medical Psychiatry 6(2):p 57-60, July-December 2023. | DOI:

How Cite This Article:

Asmita Mukund Toro, Hemendra Singh, Lahari R. Post Stroke Othello Syndrome: A Case Report. RFP Ind Jrof Med Psy. 2023;6(2):57–60.
 


Timeline

Received : N/A         Accepted : N/A          Published : N/A

Abstract

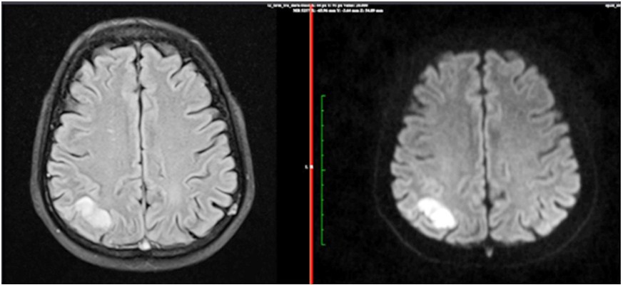
Background: Othello syndrome (OS) also known as morbid jealousy has been associated with substance use disorders, various psychiatric and neurological conditions. Case Summary: Here, we present a case of a 47 year old male who developed delusion of infidelity as sequelae of a right parietal lobe venous infarc. Discussion: Our patient had developed OS subsequently after right parietal lobe infarct. However, not many case reports have been previously documented wherein a patient developed delusion of infidelity with parietal lobe lesions. Conclusion: Hence, our case may be indicative of role of parietal lobe in the pathophysiology of delusion of infidelity, which warrants further research.
 


References

No records found.


Data Sharing Statement

There are no additional data available.

Funding

This research received no funding

Author Contributions

All authors contributed significantly to the work and approve its publication

Ethics Declaration

This article does not involve any human or animal subjects, and therefore does not require ethics approval

Acknowledgements

Information Not Provided

Conflicts of Interest

No conflicts of interest in this work


About this article


Cite this article

Asmita Mukund Toro, Hemendra Singh, Lahari R. Post Stroke Othello Syndrome: A Case Report. RFP Ind Jrof Med Psy. 2023;6(2):57–60.
 


Licence:




Received Accepted Published
N/A N/A N/A

DOI:

Keywords

Othello Syndrome; Delusion of Infidelity; Right Parietal Lobe.

Article Level Metrics

Last Updated

Monday 26 January 2026, 19:15:22 (IST)


99

Accesses

0
18
00

Citations


NA
NA
NA

Download citation


Article Keywords


Keyword Highlighting

Highlight selected keywords in the article text.


Timeline


Received N/A
Accepted N/A
Published N/A

licence



Access this article



Share