Full Text (PDF)
Case Report

Pathological Laughter as a Manifestation of Left Frontal and Right Pons Stroke

Hemendra Singh , Asmita Mukund Toro1 , Hemendra Singh2 , Lahari R.3

Author Information

Licence:




RFP Indian Journal of Medical Psychiatry 7(2):p 79-82, July - Dec 2024. | DOI: n.a

How Cite This Article:

Asmita Mukund Toro, Hemendra Singh, Lahari R, Pathological Laughter as a Manifestation of Left Frontal and Right Pons Stroke. RFP Ind Jr of Med Psy. 2024;7(2):79–82.
 


Timeline

Received : N/A         Accepted : N/A          Published : N/A

Abstract

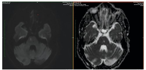
Background: Pathological laughter is a disorder of emotional expression characterized by bouts of uncontrollable laughter with no motivating factor. It is seen in various neurological disorders such as Post Traumatic Brain injury, Post stroke, Multiple sclerosis, Amyotrophic lateral sclerosis, etc. Case Summary: Here, we present a case of a 46 year old male who presented with pathological laughter to the psychiatry outpatient department following acute infarct in the left frontal and right pons area of the brain. Discussion: Our patient had developed pathological laughter subsequently after right pons and left frontal infarct as pseudobulbar affect. Our case report is unique as both the voluntary and involuntary pathways mediating laughter are involved. Conclusion: Hence, our case may be indicative of possible role of combination of antipsychotics and antidepressants, which warrants further research.
 


References

No records found.


Data Sharing Statement

There are no additional data available

Funding

This research received no funding

Author Contributions

All authors contributed significantly to the work and approve its publication

Ethics Declaration

This article does not involve any human or animal subjects, and therefore does not require ethics approval

Acknowledgements

Information Not Provided

Conflicts of Interest

No conflicts of interest in this work


About this article


Cite this article

Asmita Mukund Toro, Hemendra Singh, Lahari R, Pathological Laughter as a Manifestation of Left Frontal and Right Pons Stroke. RFP Ind Jr of Med Psy. 2024;7(2):79–82.
 


Licence:




Received Accepted Published
N/A N/A N/A

DOI: n.a

Keywords

Pathological laughterBrain InfarctPseudobulbar affect.

Article Level Metrics

Last Updated

Monday 26 January 2026, 19:17:42 (IST)


99

Accesses

0
18
00

Citations


NA
NA
NA

Download citation


Article Keywords


Keyword Highlighting

Highlight selected keywords in the article text.


Timeline


Received N/A
Accepted N/A
Published N/A

licence



Access this article



Share