Keshav Gupta Assistant Professor, Department of ENT and Head & Neck Surgery, GS Medical College & Hospital, Hapur 245304, Uttar Pradesh, India
Mohit Srivastava Department of ENT and Head & Neck Surgery, GS Medical College & Hospital, Hapur 245304, Uttar Pradesh, India
Ashu Bhati Department of ENT and Head & Neck Surgery, GS Medical College & Hospital, Hapur 245304, Uttar Pradesh, India
Address for correspondence: Keshav Gupta, Assistant Professor, Department of ENT and Head & Neck Surgery, GS Medical College & Hospital, Hapur 245304, Uttar Pradesh, India E-mail: keshavpawangarg@gmail.com
This license enables reusers to distribute, remix, adapt, and build upon the material in any medium or format for noncommercial purposes only, and only so long as attribution is given to the creator
RFP Journal of ENT and Allied Sciences
8(2):p 39-44, July - December 2023. | DOI: n.a
How Cite This Article:
Gupta K, Srivastava M, Bhati A. Managing some rare parotid masses. RFP J ENT Allied Sci. 2023;8(2):39–44.
Timeline
Received : March 27, 2023
Accepted : June 29, 2023
Published : December 12, 2023
Abstract
Background: The parotid gland is a major salivary gland in the human body located in both the cheeks. It accounts for approximately 3-6% of all head and neck masses. Three fourths of all parotid masses are benign. However, they are very diverse in nature and in intimacy with important anatomical structures. An accurate diagnosis and surgical management of some rarely presenting parotid masses is further challenging to the medical team because of limited literature and experience with these masses. Methods: A retrospective study was done at our Tertiary Care Institute studying different approaches towards rarely presenting parotid masses during last two years. Results: A giant pleomorphic adenoma with 14 cm diameter managed with total superficial Parotidectomy, a difficult to diagnose parotid mass at angle of mandible which was confirmed to be Schwannoma post excision and a large Paediatric lymphangioma managed with Sclerotherapy are discussed here. Conclusion: All were managed without mortality, with minimal morbidity and no recurrence noted till date. Our experience will be of great use to physicians and surgeons while dealing with rare benign parotid masses.
References
1. Malik NA. Diseases of Salivary Glands. Textbook of Oral and Maxillofacial Surgery. 4th ed. New Delhi: Jaypee Publishers; 2016.pp 515-41.
2. Chaurasia BD, Garg K. Human Anatomy Regional and Applied Dissection and Clinical: Head, Neck and Brain. 9th ed, Vol 3. New Delhi: CBS Publishers and Distributors Pvt Ltd; 2023. pp. 133-8; 157-62.
3. Tartagoline T, Botto A, Sciandra M, Gaudino S, Danieli L, Parrilla C, Paludetti G and Colosmino. Differential diagnosis of parotid gland tumours: which magnetic resonance findings should be taken into account? ActaOtorhinolaryngol Italy 2015; 35(5): 314-20.
4. Bradley PJ, McGurk M. Incidence of Salivary Gland Neoplasms in a defined UK population. Br J Oral MaxillofacSurg 2013;51(5):399-403.
5. Eveson JW, Cawson RA. Salivary gland tumours. A Review of 2410 cases with particular reference to histological types, site, age and sex distribution. J Pathol 1985;146(1):51-8.
6. Homer J, Robson A. Benign Salivary Gland Tumours. In: Watkinson JC, Clarke RW. Scott Brown’sOtorhinolaryngology Head & Neck Surgery. 8th ed, Vol 3. New York: CRC Press;2019.pp 115-30.
7. Xie S, Wang K, Xu H, et al. PRISMA- extracapsular dissection versus superficial parotidectomy in treatment of benign parotid tumours: evidence from 3194 patients. Medicine (Baltimore) 2015;94(34): e1237.
8. Young A, Okuyemi OT. Benign Salivary Gland Tumours. In: Star Pearls[Internet]. Treasure Island. 2022. Available from: https://www.ncbi.nlm.nih. gov/books/NBK564295. accessed on November 8,2023.
9. Saku T, Hayashi Y, Takahara O, et al. Salivary Gland Tumours among Atomic Bomb Survivors, 1950- 1987. Cancer 1997;79(8):1465-75.
10. Soderqvist F, Carlberg M, Hardell L. Use of wireless phones and the risk of salivary gland tumours: A case control study. Eur J Cancer Prev 2012; 21(6):576- 9.
11. Skalova A, Kaspirkova J, Andrle P, et al. Human Papillomaviruses are not involved in the etiopathogenesis of salivary gland tumours. Cesk Patol 2013; 49(2):72-5.
12. Gritzmann N, Hollerweger A, Macheiner P, Rettenbacher T. Sonography of soft tissue masses of neck. J Clin Ultrasound 2002;30(6):356-73.
13. Al-Khafaji BM, Nestok BR, Katz RL. Fine needle aspiration of 154 Parotid Masses with histologic correlation: ten-year experience at the University of Texas M.D. Anderson Cancer Centre. Cancer 1998;84(3);153-9.
14. Douville NJ, Bradford CR. Comparison of ultrasound-guided core biopsy versus fine-needle aspiration biopsy in the evaluation of salivary gland lesions. Head Neck 2013;35(11):1657-61.
15. Romano EB, Wagner JM, Alleman AM, et al. Fine-needle aspiration with selective use of core needle biopsy of major salivary gland tumours. Laryngoscope 2017;127(11):2522-7.
16. WHO Classification of Tumours of Salivary Glands. In: El Naggar AK, John KC, Grandis JR, Takata T, Slootweg PJ (eds). WHO Classification of Head & Neck Tumours. 4th ed. Lyon:IARC;2017,pp.160-84.
17. Bradley PT, Paleri V, Homer JJ. Consensus statement by Otolaryngologists on the diagnosis and management of benign parotid gland disease. ClinOtolaryngol 2012;37(4):300-4.
18. Valstar MH, de Ridder M, van den Broek EC et al. Salivary gland pleomorphic adenoma in the Netherlands: a nationwide observational study of primary tumour incidence, malignant transformation, recurrence and risk factors for recurrence. Oral Oncol 2017;66:93-9.
19. McGurk M, Renehan A, Gleave EN, Hancock BD. Clinical significance of the tumour capsule in the treatment of parotid pleomorphic adenomas. Br J Surg 1996;83(12):1747-9.
Data Sharing Statement
There are no additional data available
Funding
This research received no funding
Author Contributions
All authors contributed significantly to the work and approve its publication
Ethics Declaration
This article does not involve any human or animal subjects, and therefore does not require ethics approval
Acknowledgements
Information Not Provided
Conflicts of Interest
No conflicts of interest in this work.
About this article
Cite this article
Gupta K, Srivastava M, Bhati A. Managing some rare parotid masses. RFP J ENT Allied Sci. 2023;8(2):39–44.
This license enables reusers to distribute, remix, adapt, and build upon the material in any medium or format for noncommercial purposes only, and only so long as attribution is given to the creator
This license enables reusers to distribute, remix, adapt, and build upon the material in any medium or format for noncommercial purposes only, and only so long as attribution is given to the creator
A large parotid mass of 12 years duration in a 34 years old male patient
Description: No description available.
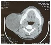
Contrast enhanced computerised tomography (CECT) shows a large mass in superficial lobe of parotid in close contact with important neurovascular structures
Description: No description available.
: A small infra-auricular with a skin indentation at a single point in an 18 years old male patient for last 5 years
Description: No description available.
A large parotid swelling in a 2 years old male patient present and enlarging since birth
Description: No description available.
Total superficial parotidectomy after complete removal of superficial lobe of parotid gland. Facial Nerve (FN) and its branches are intact in the bed
Description: No description available.
The Pleomorphic Adenoma (PA) of maximum 14 cm diameter was excised intact and complete, and sent for histopathological evaluation
Description: No description available.
Partial superficial parotidectomy was done with 5 mm strip of normal tissue around the mass and sent for histopathology
Description: No description available.
The mass completely disappeared on first follow up 7 days after the first session of sclerotherapy