Keshav Gupta Senior Consultant, Department of ENT, Dev Nandini Super Speciality Hospital, Hapur, Uttar Pradesh,, India
Deepa Kumari Department of ENT, Dev Nandini Super Speciality Hospital, Hapur, Uttar Pradesh,, India
Shreya Jain Department of ENT, Dev Nandini Super Speciality Hospital, Hapur, Uttar Pradesh,, India
Prag Kumari Department of ENT, Dev Nandini Super Speciality Hospital, Hapur, Uttar Pradesh,, India
Address for correspondence: Keshav Gupta, Senior Consultant, Department of ENT, Dev Nandini Super Speciality Hospital, Hapur, Uttar Pradesh,, India E-mail: keshavpawangarg@gmail.com
This license enables reusers to distribute, remix, adapt, and build upon the material in any medium or format for noncommercial purposes only, and only so long as attribution is given to the creator
RFP Journal of ENT and Allied Sciences
9(1):p 71-75, January-June 2024. | DOI: NA
How Cite This Article:
Gupta K, Kumari D, et al. Surgical prognostic factors for juvenile nasopharyngeal angiofibroma. RFP J ENT Allied Sci. 2024;9(1):71–75.
Timeline
Received : March 16, 2024
Accepted : May 27, 2024
Published : June 30, 2024
Abstract
Background: Juvenile Nasopharyngeal Angiofibroma (JNA) are benign, rare and highly vascular tumors of nose and para nasal sinuses seen only in post pubertal males. Aim: To study surgical prognostic factors for JNA. Objectives: To study the effect of presenting features namely blood supply, blood loss, tumor grading, steroid therapy and age of presentation on surgical prognosis. Material: Presenting features and surgical outcomes of all 4 operated JNA patients were compared from the Departmental records. Result: Unilateral blood supply, Lesser pre-operative blood loss, lesser grade tumor, longer steroid therapy and more age at presentation have better surgical outcome. Conclusion: Although benign and rare to encounter, their diagnosis and management is a challenge owing to their highly vascular nature and their blood supply directly from or from main branches of carotid arteries. Here, we present four cases of successful management of JNA with detailed discussion of surgical prognostic factors of the rare tumor
References
1. Tork C.A., Simpson D.L. Nasopharyngeal Angiofibroma. [Updated 2022 Jun 27]. In: StatPearls [Internet]. Treasure Island (FL): StatPearls Publishing; 2023 Jan. Available from: https://www.ncbi.nlm.nih.gov/books/ NBK545240/
2. Safadi A., Schreiber A., Fliss D.M., Nicolai P. Juvenile Angiofibroma: Current Management Strategies. J Neurol Surg B Skull Base. 2018 Feb; 79(1):21-30. doi: 10.1055/s-0037-1615810. Epub 2018 Jan. 18. PMID: 29404237; PMCID: PMC5796815.
3. Butler C.R., Scholfield D.W., Madani G., Sandison A., Clarke P.M. Current Management and Controversies of Juvenile Angiofibromas. Int J. Head Neck Surg 2018; 9(1):32-37.
5. Alshaikh N.A., Eleftheriadou A. Juvenile nasopharyngeal angiofibroma staging: An overview. Ear Nose Throat J. 2015 Jun; 94(6):E12-22.
6. Allensworth J.J., Troob S.H., Lanciault C., Andersen P.E. High-grade malignant transformation of a radiation-naïve nasopharyngeal angiofibroma. Head Neck. 2016 Apr; 38 Suppl 1:E2425-7
7. Park C.K., Kim D.G., Paek S.H., Chung H.T., Jung H.W. Recurrent juvenile nasopharyngeal angiofibroma treated with gamma knife surgery. J. Korean Med Sci. 2006 Aug; 21(4):773-7.
8. Overdevest J.B., Amans M.R., Zaki P., Pletcher S.D., El-Sayed I.H. Patterns of vascularization and surgical morbidity in juvenile nasopharyngeal angiofibroma: A case series, systematic review, and meta-analysis. Head Neck. 2018 Feb; 40(2):428-443.
9. Wai Lup Wong and Bal Sanghera. Recent advances in technology. In John C Watkinson and Raymond W Clarke. Scott Brown’s Otorhinolaryngology Head & Neck Surgery. 8th ed. New York: CRC Press;2018.p541-58.
10. Andrews J.C., Fisch U., Valavanis A., Aeppli U., Makek M.S. The surgical management of extensive nasopharyngeal angiofibromas with the infratemporal fossa approach. Laryngoscope 1989; 99:429-37.
11. James V. Byrne. Interventional Techniques. In John C. Watkinson and Raymond W. Clarke. Scott Brown’s Otorhinolaryngology Head & Neck Surgery. 8th ed. New York: CRC Press; 2018. p 569-80.
12. Mehan R., Rupa V., Lukka V.K., Ahmed M., Moses V., Shyam Kumar N.K. Association between vascular supply, stage and tumour size of juvenile nasopharyngeal angiofibroma. Eur Arch Otorhinolaryngol. 2016 Dec;273(12):4295-4303.
Data Sharing Statement
There are no additional data available
Funding
This research received no funding
Author Contributions
All authors contributed significantly to the work and approve its publication
Ethics Declaration
This article does not involve any human or animal subjects, and therefore does not require ethics approval
Acknowledgements
Information Not Provided
Conflicts of Interest
No conflicts of interest in this work
About this article
Cite this article
Gupta K, Kumari D, et al. Surgical prognostic factors for juvenile nasopharyngeal angiofibroma. RFP J ENT Allied Sci. 2024;9(1):71–75.
This license enables reusers to distribute, remix, adapt, and build upon the material in any medium or format for noncommercial purposes only, and only so long as attribution is given to the creator
This license enables reusers to distribute, remix, adapt, and build upon the material in any medium or format for noncommercial purposes only, and only so long as attribution is given to the creator
H&E staining and observation under 100X microscope shows large sinusoids varying in size, ranging from slit-like to ectatic with a staghorn configuration, poorly developed myoid-type cells surround the endothelial-lined vascular channels with absence of elastic lamina
Description: No description available.
Clinical presentation and radiological staging of patients presenting with JNA
Description: No description available.
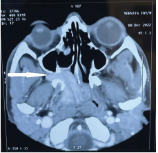
Computerised tomography image showing juvenile nasopharyngeal angiofibroma (white arrow) completely blocking the nasopharynx and extending throughright pterygo- maxillary fissure into the right infratemporal fossa
Description: No description available.
Excised juvenile nasopharyngeal angiofibroma revealing its fibro-sinusoidal architecture, extensions into various skull base compartments and vascular pedicle
Description: No description available.
Radkowski staging is a very popular staging system of JNA based on computerised tomography
Description: No description available.
Andrew Fisch[9,10] Classification is another popular staging system of JNA based on computerised tomography. We have also used the same system for staging in present paper